Het laatste nieuws over cholesterol, lipiden en statinetherapie bij hart- en vaatziekten.
In-stent neoatherosclerose draagt bij aan late stenttrombose en restenose. In een konijnenmodel onderzocht deze studie het effect van farmacologische remming va
In deze post-hocanalyse van de PACMAN-AMI-studie werden twee methoden voor intravasculaire echografie vergeleken: conventionele 1-mm-segmentatie versus eind-dia
Deze systematische review en meta-analyse onderzocht het verband tussen sociaaleconomische status en cardiovasculaire ziekte op basis van wereldwijde data. De s
In een vooraf gespecificeerde analyse van een gerandomiseerde trial werd onderzocht of toevoeging van de PCSK9-remmer evolocumab aan empagliflozine bij type 2 d
De American Heart Association introduceerde het cardiovasculair-renaal-metabool (CKM) syndroom als nieuw concept. Deze prospectieve cohortstudie onderzocht de v
Mensen met hiv hebben een verhoogd cardiovasculair risico. Na positieve resultaten met statines wordt in de EPIC-HIV trial onderzocht of PCSK9-remming het cardi
Dit overzichtsartikel bespreekt de nog openstaande vragen over de relatie tussen lipoproteïne(a) en atherosclerotisch cardiovasculair risico. Ondanks groeiend b

In deze retrospectieve cohortstudie op basis van het Vektis-declaratieregister werd de therapietrouw aan lipidenverlagende medicatie onderzocht in het eerste ja
In de Ez-PAVE-trial, de eerste gerandomiseerde head-to-head vergelijking van LDL-cholesterolstreefwaarden, werd bij 3.048 patiënten met atherosclerotisch vaatli
In een subgroepanalyse van de VESALIUS-CV-trial werden 3.655 patiënten met diabetes maar zonder bekende significante atherosclerose gevolgd gedurende mediaan 4,
Ondanks bewezen effectiviteit van lipidenverlagende therapieën blijft de implementatie in de dagelijkse praktijk suboptimaal. Dit artikel in Circulation analyse
In de grootste studie tot nu toe naar de combinatie van lipoproteïne(a) en coronaire calciumscoring (CAC) bij meer dan 11.000 deelnemers blijkt dat beide onafha
De ACC en AHA hebben de richtlijn voor dyslipidemiebehandeling grondig herzien — de eerste update sinds 2018. De belangrijkste veranderingen: een LDL-C-streefwa
In het All of Us-cohort werd de prevalentie van genotypisch bevestigde familiaire hypercholesterolemie (FH) in de VS vastgesteld. Ondanks het sterk verhoogde ri
Dit EHJ-debat bespreekt of preventieve percutane coronaire interventie bij niet-flow-limiterende kwetsbare plaques standaard zou moeten worden naast optimale me
In een fase 2-trial verlaagde de orale PCSK9-remmer enlicitide het LDL-cholesterol significant. Als eerste orale PCSK9-remmer in klinische ontwikkeling kan dit
In Current Opinion in Lipidology wordt de stand van zaken besproken rond RNA-interferentie (RNAi) als behandeling van lipidestoornissen. Inclisiran, de eerste g
Dit overzicht in Current Opinion in Lipidology beschrijft het metabolisme van Lp(a) en het bijbehorende cardiovasculaire risico specifiek bij familiaire hyperch
Onderzoekers uit een Belgisch centrum beschrijven de klinische kenmerken en het lipidenmanagement van 189 patiënten met (vermoedelijke) familiaire hypercholeste
Een studie in het American Journal of Cardiology onderzocht het verband tussen lipoproteïne(a) en coronaire microvasculaire disfunctie bij patiënten met angina
Dit review in Current Opinion in Lipidology bespreekt de rol van polygene risicoscores (PRS) bij familiaire hypercholesterolemie. Een hoge Lp(a)-PRS verklaart h
Een analyse van ruim 350.000 UK Biobank-deelnemers laat zien dat het verband tussen lipoproteïne(a) en atherosclerotisch vaatlijden niet-lineair is, met een ste

Dit review bespreekt hoe de beschikbare en toekomstige niet-statine lipidenverlagende therapieën optimaal kunnen worden ingezet. Het biedt een praktisch kader v
Een systematisch review en meta-analyse in Vascular Diseases beoordeelt de lipideverlagende werkzaamheid en veiligheid van obicetrapib, een nieuwe CETP-remmer.
Een studie in Atherosclerosis onderzocht het verband tussen albuminurie, veranderingen in albuminurie en het risico op een abdominaal aorta-aneurysma (AAA). De
Onderzoekers publiceerden in het European Heart Journal dat de macrofaagdichtheid en inflammatoire lipide-geassocieerde macrofaagmarkers in carotisplaques secun
Patiënten die een beroerte hebben doorgemaakt, profiteren van een agressievere LDL-cholesterolverlaging. Deze studie bevestigt dat lagere LDL-waarden geassociee

Een groot cohortonderzoek toont aan dat regelmatige lichaamsbeweging de link tussen verhoogde ontstekingswaarden (CRP) en het risico op coronaire atherosclerose
Bij patiënten met acuut gedecompenseerd hartfalen beïnvloedt de aanwezigheid van hypertensie de prognostische waarde van lipoproteïne(a). De studie laat zien da
Deze systematische review en meta-analyse onderzocht het effect van PCSK9-remmers bij patiënten met perifeer arterieel vaatlijden (PAV). De resultaten tonen sig
In deze gerandomiseerde klinische trial (APERITIF) werd onderzocht of toevoeging van laaggedoseerd rivaroxaban aan duale antiplaatjestherapie linkerventrikeltro
Activatie van eilandjessterrecellen (ISC's) draagt bij aan eilandjesfibrose en diabetesprogressie. Annexine A1 (ANXA1) moduleert lipidemetabolisme, maar de rol
De EWTOPIA 75-studie laat zien dat ezetimibe zonder statine het risico op atherosclerotische hart- en vaatziekten verlaagt bij personen van 75 jaar en ouder. Om
Vergelijking van het risico op atherosclerotische hart- en vaatziekten bij familiaire restanthyperlipidemie (dysbetalipoproteinemie) en familiaire hypercholeste
Beschouwing over het heroverdenken van cholesterolmanagement bij vrouwen, met verschuiving van kortetermijnrisicoschatting naar een levenslange benadering van c
Onderzoek naar de langetermijneffecten van het tijdstip en de continuïteit van lipidenverlagende behandeling bij kinderen met familiaire hypercholesterolemie.
In een analyse van ruim 65.000 patiënten met coronaire hartziekte bleek de combinatie van verhoogd lipoproteïne(a) en diabetes mellitus geassocieerd met een sig
In een muismodel met LDL-receptordeficiëntie leidde urineweginfectie verrassend genoeg tot lagere cholesterolwaarden en minder atherosclerose, ondanks uitgespro
Een fundamenteel onderzoek onthult hoe de transcriptiefactor FOXO1 endotheelcellen beschermt tegen atherosclerose door hemodynamische, inflammatoire en metabole
Data uit het Italiaanse LIPIGEN-register beschrijven het moment van starten, de farmacologische aanpak en de vroege uitkomsten van lipidenverlagende therapie bi
Met NIRS-IVUS en computationele vloeistofdynamica werd het verband onderzocht tussen het hemodynamische milieu en lipidekernplaques in culprit- en non-culprit-c
Deze meta-analyse evalueerde het effect van lipide-aferese op lipoproteïne(a)-spiegels bij patiënten met cardiovasculaire ziekten. Aferese verlaagde Lp(a) met 6
De huidepidermis is afhankelijk van exogene aanvoer van het essentiële vetzuur linolzuur voor de synthese van acylceramiden. Dit onderzoek toont aan dat het tra
Bij kinderen met hypercholesterolemie blijkt lipoproteïne(a) een aanzienlijke bijdrage te leveren aan het gemeten LDL-cholesterol. Extreem hoge Lp(a)-waarden (c
De YELLOW-III-studie onderzocht de effecten van evolocumab bovenop maximale statinetherapie op coronaire plaques middels intracoronaire beeldvorming en transcri
Real-world data van de eerste 200 patiënten van een multidisciplinaire cardiometabole polikliniek toont effectieve LDL-cholesterolverlaging in de praktijk, met
Lage-dosis aspirine remt plaatjes-COX-1 en vermindert trombboxaan A2-productie gedurende 24 uur, maar de duur van dit effect varieert. Dit onderzoek toont aan d
Diffuse coronaire ziekte beïnvloedt patiëntuitkomsten, maar een objectieve definitie ontbreekt. De pullback pressure gradient (PPG) is een nieuwe fysiologische
Dit reviewartikel bespreekt de mogelijke rol van PCSK9-remmers bij cardiaal syndroom X (microvasculaire angina). Naast hun lipideverlagende werking kunnen PCSK9
Een editoriaal bespreekt hoe lipoproteïne(a)-meting gecombineerd met AI-gestuurde coronaire CT-angiografie (AI-CCTA) cardiovasculair restrisico kan identificere
Een nieuw immunocapture-ELISA voor de directe meting van lipoproteïne(a)-cholesterol is analytisch gevalideerd. De test toont uitstekende lineariteit, precisie

Ondanks de sterke erfelijkheid van lipoproteïne(a) wordt het in de VS bij minder dan 1% van de patiënten gemeten. Dit onderzoek ontwikkelt een verbeterd genetis
De Lp(a)FRONTIERS APHERESIS-trial onderzocht bij Duitse patiënten met verhoogd Lp(a) en bewezen hart- en vaatziekten of pelacarsen de noodzaak van wekelijkse li
In de Multi-Ethnic Study of Atherosclerosis werd onderzocht of aspirinegebruik de incidentie van aortaklepcalcificatie en -stenose beïnvloedt bij verschillende
Het 4S-register onderzocht de naleving van richtlijnen voor secundaire preventie bij patiënten na een acuut myocardinfarct in Saudi-Arabië. Risicofactoren zoals

Patiënten met reumatoïde artritis hebben een verhoogd cardiovasculair risico. Dit onderzoek valideert een biomarkermodel met onder andere lipoproteïne(a), osteo
De NEWTON-CABG CardioLink-5-trial onderzocht of toevoeging van evolocumab (PCSK9-remmer) aan statinetherapie de doorgankelijkheid van veneuze bypasses na corona
In een Deens case-cohortonderzoek werd de samenstelling van enkelvoudig onverzadigde vetzuren (MUFA) in vetweefsel onderzocht in relatie tot het risico op perif
Hart- en vaatziekten en kanker zijn wereldwijd de belangrijkste doodsoorzaken met gemeenschappelijke risicofactoren. De BRAVADO-studie onderzocht de specifieke
Bij Palestijnse patiënten na een acuut coronair syndroom bleek gezondheidsgeletterdheid via zelfzorggedrag samen te hangen met de kwaliteit van leven. De studie
Farmacologische behandeling blijft essentieel bij atherosclerotisch vaatlijden. Naast LDL-cholesterolverlaging met statines worden nieuwe strategieën onderzocht
Bij patiënten met een acuut coronair syndroom werd onderzocht hoe snel lipidedoelen bereikt werden met meervoudige lipidenverlagende therapie, waaronder de PCSK
Meta-analyse vergeleek de gerapporteerde bijwerkingen in bijsluiters met de werkelijke incidentie in dubbelblinde trials. Veel bijwerkingen worden ten onrechte
Ondanks groeiend bewijs voor de klinische relevantie van lipoproteïne(a) wordt het nog altijd bij minder dan 20-30% van de patiënten gemeten. Deze studie brengt
Atherosclerose wordt beïnvloed door leeftijd, geslacht, diabetes en andere factoren die variëren tussen etnische groepen. Deze studie onderzocht hoe genetisch b
Chronische laaggradige inflammatie is kenmerkend voor atherosclerose. Dit onderzoek toont aan dat langdurige blootstelling aan geoxideerd LDL of cholesterol mon
Een uitgebreide review over de staat van Lp(a) als cardiovasculaire risicofactor. Verhoogd Lp(a) treft circa 20% van de wereldbevolking en is causaal gelinkt aa
Naast de bekende LDL-C-verlaging beïnvloedt PCSK9-remming ook vasculaire en systemische inflammatie en de antioxidatieve functie van HDL. De studie toont verlaa
Basilarisocclusie is de ernstigste presentatie van ischemisch CVA door groot-vaatocclusie. Nieuwe gerandomiseerde en observationele data in The Lancet ondersteu
Een analyse van 15 jaar klinische praktijk onderzocht de incidentie van statinegerelateerde klachten en statine-intolerantie bij kinderen met heterozygote famil
In een Oost-Europees cohort van statinegebruikers bleek de ApoB/ApoA-I-ratio een betere voorspeller van de ernst van coronairlijden dan traditionele lipideparam
Cohortstudie naar klinische drempels en percentielen van lipoproteïne(a) als 30-jarige voorspellers van cardiovasculair risico bij deelneemsters aan de Women's
Niet-gerandomiseerde studie naar SHR-1918, een volledig humaan monoklonaal antilichaam tegen ANGPTL3, en het effect op LDL-cholesterol bij volwassenen met homoz
Analyse toonde dat lagere LDL-waarden minder neoatherosclerose in stents veroorzaken na STEMI. Intensieve LDL-verlaging beschermt niet alleen natieve vaten maar
Secundaire analyse van de CONNECT-trial over de vraag of het bereiken van richtlijn-conforme LDL-cholesterolwaarden na drug-eluting stentplaatsing bij STEMI-pat
Ernstige hypertriglyceridemie met chylomicronemie (TG >10 mmol/L) blijkt geassocieerd met nierschade. Dit overzicht bespreekt de nefrotoxische effecten van lang
Reactie op opmerkingen over de statistische analyse van NHANES-data in de studie over orale microbioom-alfadiversiteit en sterfte onder Amerikaanse volwassenen.
Via cross-sectionele review van twee onafhankelijke cohorten van patiënten met familiaire of multifactoriële chylomicronemie onderzochten de auteurs of persiste
Commentaar op de studie van Mondal et al. over orale microbioom-alfadiversiteit en mortaliteit, met suggesties voor verbeterde statistische analyse van NHANES-d
Een opmerkelijke casus waarbij familiaire hypercholesterolemie (FH) pas laat werd ontdekt doordat een gelijktijdig aanwezige PCSK9 loss-of-function variant het
De National Lipid Association publiceert een geactualiseerd expertconsensus over familiaire hypercholesterolemie, met richtlijnen voor screening, genetische dia
Trial onderzocht olezarsen specifiek bij ernstige hypertriglyceridemie met pancreatitisrisico. Het middel bood spectaculaire triglyceridenverlaging en pancreati
Lipoproteïne(a) bevat cholesterol dat meegerekend wordt in standaard LDL-C-berekeningen, wat leidt tot overschatting van het 'echte' LDL-C bij patiënten met ver
Atherosclerotische hart- en vaatziekten zijn een belangrijke doodsoorzaak. Isolinderalacton, een sesquiterpeenverbinding uit Lindera aggregata, remt het NLRP3-i
De ES-BempedACS trial vergeleek triple (statine+ezetimibe+bempedoïnezuur) met duale lipidenbehandeling na ACS. Triple therapie bereikte lagere LDL-waarden, wat
Landelijke Noorse studie onderzocht het risico op congenitale afwijkingen bij statinegebruik in de zwangerschap. De resultaten zijn geruststellend maar statines
Een secundaire analyse van de Europese DA VINCI-studie onderzocht in hoeverre non-HDL-cholesteroldoelen worden behaald bij patiënten in de eerste en tweede lijn
Cross-sectionele analyse van het ADVANCE-register met AI-gebaseerde kwantitatieve plaquebeoordeling toont dat cardiovasculaire risicofactoren slechts matig geas
Analyse onderzocht de veiligheid van zeer lage LDL-waarden (<30 mg/dL) bij patiënten na ischemisch CVA. Er was geen toename van bijwerkingen, wat agressieve LDL
Fase 3 trial van enlicitide, een orale PCSK9-remmer, bij heterozygote FH. Het middel verlaagde LDL significant en biedt een dagelijks oraal alternatief voor inj
Verkalkte plaques werden traditioneel gezien als gevorderde, rustige atherosclerose. Pathologische studies tonen echter lipide-inhoud in verkalkte plaques. Deze
De 2025 Focused Update van de ESC/EAS-dyslipidemierichtlijnen moderniseert aanbevelingen over risicobeoordeling, lipidenverlagende behandeling en lipoproteïne(a
Commerciële high-throughput proteomicsplatforms zoals Olink en SomaLogic maken grootschalige epidemiologische studies mogelijk. Dit overzicht bespreekt de huidi
De GoFresh-trial onderzocht of bezorging van DASH-dieetboodschappen de bloeddruk verlaagt. De interventie verbeterde de voedselkeuze en verlaagde de bloeddruk b
De CAVIAR-trial onderzocht alirocumab voor preventie van cardiale allograft vasculopathie na harttransplantatie. PCSK9-remming kan de belangrijkste langetermijn
Rapacz-varkens met familiaire hypercholesterolemie ontwikkelen atherosclerotische laesies die sterk lijken op humane coronaire atherosclerose. Dit onderzoek cla
De Spaanse nefrologievereniging en arteriosclerosevereniging verwelkomen de 2025 ESC/EAS-update maar signaleren dat albuminurie als cardiovasculaire risicoverho

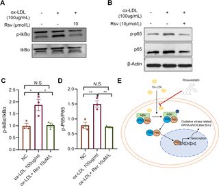
Atherosclerose is de basisoorzaak van cardiovasculaire ziekte. Dit onderzoek toont dat rosuvastatine endotheelcellen beschermt tegen oxidatieve stress door geox

In een Chinees cohort van bijna 16.000 diabetespatiënten bleken overgewicht en een hogere triglyceride-glucose-index juist geassocieerd met een lager sterfteris
Deze review bespreekt het complexe samenspel van dyslipidemie en diabetes, met nadruk op de rol van PCSK9-remmers, ezetimibe en bempedoïnezuur als aanvulling op

Bij 307 patiënten met een acuut myocardinfarct na spoed-PCI bleek de combinatie van lipoproteïne(a) en de CatLet-angiografiescore een significant betere voorspe
Dit onderzoek onderzocht de relatie tussen lipoproteïne(a), geoxideerde fosfolipiden en apolipoproteïne B100 bij patiënten met een acuut ischemisch herseninfarc

Deze meta-analyse onderzocht de associatie tussen genetische variaties in het APOE-gen en het risico op coronaire hartziekten. Bepaalde APOE-varianten blijken s

Schuimcelvorming door macrofagen is cruciaal bij atherosclerose. Dit onderzoek toont dat 3-hydroxystearinezuur de cholesterolefflux bevordert en atherosclerose
Systemische inflammatie speelt een rol bij cardiovasculaire ziekte. De monocyt-HDL-ratio (MHR) is een surrogaatindex voor residuaal inflammatierisico. Dit grote
De interactie tussen coronaire hemodynamiek en atherosclerotische plaque is onvolledig begrepen. De Pullback Pressure Gradient (PPG) categoriseert coronaire zie
Cilostazol vergroot de pijnvrije loopafstand bij perifeer arterieel vaatlijden. Het effect op de prognose bij patiënten met diabetes was onduidelijk. Deze Korea
Familiaire hypercholesterolemie (FH) is een erfelijke lipidestoornis met verhoogd risico op premature atherosclerose. Ondanks effectieve behandelingen blijft FH
Abdominaal aorta-aneurysma (AAA) mist betrouwbare circulerende biomarkers en effectieve farmacotherapie. Via prospectief cohortonderzoek en Mendeliaanse randomi
Ondanks het veelvuldig samen voorkomen van frailty en AAA was onduidelijk of kwetsbaarheid een risicofactor is. Deze UK Biobank-studie onderzocht het verband tu
Kinderen met homozygote FH hebben geavanceerde lipidenverlagende therapie nodig. Deze studie beoordeelt de langetermijnwerkzaamheid en veiligheid van evinacumab
Dit onderzoek in Circulation onthult dat het E3 ubiquitine-ligase TRIM31 in macrofagen beschermt tegen atherosclerose door LOX-1 af te breken. Bij TRIM31-defici
De wisselwerking tussen miRNA's en lipiden is nog beperkt begrepen. Deze studie verkende een nieuwe benadering door miRNomic en lipidomic data te integreren bij
Analyse onderzocht de relatie tussen geoxideerde fosfolipiden, Lp(a) en CV-uitkomsten na ACS. OxPL en Lp(a) zijn synergistische risicofactoren die gerichte ther
Commentaar bij de studie van Griffin et al. over cardiovasculaire risicostratificatie: van statische beeldvorming naar functionele capaciteit om risico te ident
Atherosclerose is een chronische immunometabole ziekte. Macrofagen en T-cellen spelen sleutelrollen bij plaque-ontwikkeling. Dit onderzoek toont dat galectine-1
Familiaire hypercholesterolemie treft 1 op 311 personen. Bij vrouwen veranderen de lipideprofielen tijdens de menopauze, maar onderzoek naar het effect van de m
Mendeliaanse randomisatie-analyse geïntegreerd met multi-omics data om het causale verband tussen mitochondriale genen en de pathogenese van carotisplaques te o
Ondanks een CAC-score van nul toont 5-6% van de middelbare volwassenen atherosclerose. Deze SCAPIS cross-sectionele studie onderzocht het verband tussen geschat
Gepoolde analyse suggereerde dat obicetrapib de MACE vermindert bij hoogrisicopatiënten. Dit is de eerste CETP-remmer met signalen voor klinisch voordeel, in af
Studie onderzocht olezarsen (anti-APOC3 antisense) bij matige hypertriglyceridemie. Het middel verlaagde triglyceriden significant en de CV-uitkomsttrial moet h
De NEWTON-CABG trial onderzocht of evolocumab de veneuze graftpatency na CABG verbetert. Intensieve LDL-verlaging verminderde graftfalen, wat perioperatieve PCS
Commentaar op de systematische review van Patti et al. over de relatie tussen lipidenverlagende therapie, coronaire plaquefenotypeveranderingen en cardiovascula
De ontwikkeling van veilige en effectieve lipidenverlagende middelen was een mijlpaal in de cardiovasculaire geneeskunde. Dit commentaar bespreekt plaque-remode
NEJM-trial van CagriSema (amyline-analoog + GLP-1-agonist) toonde spectaculair gewichtsverlies tot 25% bij overgewicht/obesitas. De combinatie overtreft semaglu
Trial onderzocht inclisiran als monotherapie bij patiënten zonder ASCVD maar met hypercholesterolemie. Het middel verlaagde LDL effectief als standalone therapi
Dit artikel over de kosteneffectiviteit van alternatieve cascadescreeningstrategieën voor familiaire hypercholesterolemie met realistische acceptatiepercentages
De relatie tussen coronaire plaquefenotypeveranderingen op OCT en de afname van ernstige cardiovasculaire events bij lipidenverlagende therapie was onbekend. De
Fase 3 data van obicetrapib bij hoogrisicopatiënten bevestigden significante LDL-verlaging en een gunstig veiligheidsprofiel. De CETP-remmer is de eerste in zij
Studie toonde dat inclisiran ook bij adolescenten met homozygote FH effectief en veilig het LDL verlaagt. Vroege behandeling in deze ernstige populatie kan de c
Influenza-infectie is een bekende trigger van acute cardiovasculaire events via systemische inflammatie, endotheeldisfunctie en trombose. Dit overzicht bespreek
De PURSUIT-trial van een orale PCSK9-remmer toonde significante LDL-verlaging bij hypercholesterolemie. Een effectieve orale PCSK9-remmer zou de toegankelijkhei
Gerandomiseerde trial onderzocht intensieve LDL-verlaging met evolocumab bij patiënten met auto-immuunziekten en verhoogd CV-risico. Het middel was effectief en
Analyse toonde dat plozasiran (anti-APOC3 siRNA) niet alleen triglyceriden verlaagt maar ook de lipoproteïne-deeltjessamenstelling gunstig beïnvloedt, met minde
Translationele studie documenteerde de ontwikkeling van solbinsiran van preklinisch tot eerste humane toepassing. Het siRNA tegen ANGPTL3 toont consistent gunst
Fase 2 trial van een ANGPTL3-antilichaam toonde significante verlaging van LDL en triglyceriden bij suboptimaal gecontroleerde hyperlipidemie. Het middel biedt
De TANDEM-trial in de Lancet toonde dat de vaste combinatie van obicetrapib (CETP-remmer) plus ezetimibe het LDL met 55-60% verlaagde. Dit is de eerste succesvo
Fase 2 data van solbinsiran, een GalNAc-geconjugeerd siRNA tegen ANGPTL3, toonden duurzame en effectieve verlaging van triglyceriden en LDL. Het middel biedt ee
Twee cluster-RCT's toonden dat apothekerverwijzingen het statinegebruik significant verhogen. De apotheek als startpunt voor CV-preventie is een effectieve en s

Prof. Kausik Ray bespreekt de PROLONG-ANG3 fase 2-studie van solbinsiran, een nieuw siRNA gericht tegen ANGPTL3, bij volwassenen met gemengde dyslipidemie. Solb
Analyse bevestigde dat langetermijn evolocumab bij ouderen even effectief en veilig is als bij jongere patiënten. De LDL-verlaging en CV-risicoreductie zijn con
Meta-analyse vergeleek alternatieve LDL-verlagingsstrategieën (matige statine + ezetimibe of PCSK9-remmer) met hoge-dosis statine bij ASCVD. De alternatieve str
Analyse bevestigde dat Lp(a) en LDL-cholesterol onafhankelijke cardiovasculaire risicopaden vertegenwoordigen. Verlaging van beide is nodig voor optimale risico
NEJM-trial van plozasiran bij chylomicronemie toonde spectaculaire triglyceridenverlaging en pancreatitispreventie. Het siRNA tegen APOC3 biedt definitieve ther

In deze narratieve review bespreken experts de nieuwste mechanismen en therapeutische strategieën voor cholesterolverlaging, waaronder nieuwe geneesmiddelen en
AEGIS-II subanalyse onderzocht of het effect van apoA-I-infusie na MI varieert naar Lp(a)-niveau. Er was geen differentieel effect, wat bevestigt dat apoA-I-inf
Dertigjaars follow-up studie bij vrouwen toonde dat hsCRP, LDL-cholesterol en Lp(a) onafhankelijk langetermijn CV-events voorspellen. De drie risicofactoren ver
Post-hoc analyse onderzocht het effect van LDL-verlaging op individuele coronaire lesies na MI. Lagere LDL-waarden waren geassocieerd met minder plaquepubressie
Subanalyse van AEGIS-II onderzocht het effect van apoA-I-infusie op de totale ischemische eventlast na MI. Er was geen voordeel, wat de HDL-infusiestrategie def
Fase 3 trial van recaticimab plus statine toonde additionele LDL-verlaging bij patiënten met onvoldoende respons op statine monotherapie. Het antilichaam is een
Fase 3 trial van recaticimab, een anti-PCSK9 antilichaam uit China, toonde significant LDL-verlaging als monotherapie bij niet-familiaire hypercholesterolemie.
Meta-analyse documenteerde significant lagere LDL-bereiking bij vrouwen met FH vergeleken met mannen, ondanks vergelijkbaar cardiovasculair risico. Vrouwen met
NEJM-trial van zodasiran, een siRNA gericht op ANGPTL3, toonde significante verlaging van triglyceriden, LDL en non-HDL-cholesterol bij gemengde hyperlipidemie.
NEJM-trial van plozasiran bij gemengde hyperlipidemie toonde spectaculaire triglyceriden- en VLDL-verlaging. Het middel biedt een tweemaal jaarlijkse injectie d
Analyse toonde dat hogere triglycerideniveaus het residuele CV-risico na ACS verhogen maar dat alirocumab dit risico niet specifiek via triglyceridenverlaging v
Fase 3 data van lerodalcibep toonden duurzame LDL-verlaging bij patiënten met of met hoog risico op ASCVD. Het maandelijkse PCSK9-remmende fusie-eiwit biedt een
RACING subanalyse bevestigde dat matige-intensiteit statine plus ezetimibe even effectief is als hoge-dosis statine voor secundaire CV-preventie. De combinaties
Langetermijndata bevestigden de duurzame veiligheid en effectiviteit van evinacumab bij homozygote FH. Het ANGPTL3-antilichaam biedt blijvende LDL-verlaging bij
Vergelijkende analyse toonde dat bempedoïnezuur per eenheid LDL-verlaging vergelijkbare CV-risicoreductie biedt als statines. Dit bevestigt het LDL-principe: de
De SHASTA-2 trial van plozasiran, een siRNA gericht op APOC3, toonde spectaculaire triglyceridenverlaging bij ernstige hypertriglyceridemie. Het middel concurre
Gerandomiseerde trial vergeleek een multidisciplinair vasculair zorgteam met standaard educatie bij PAD. Het zorgteam verbeterde de medicatietrouw en risicofact
Meta-analyse toonde dat de triglyceride-glucose (TyG)-index cardiovasculaire uitkomsten na PCI voorspelt. Deze eenvoudige insulineresistentiemarker kan de risic
NEJM-trial toonde dat olezarsen (antisense tegen APOC3) het pancreatitisrisico drastisch vermindert bij familiaire chylomicronemie door spectaculaire triglyceri
NEJM-trial toonde dat olezarsen de triglyceriden met >50% verlaagde bij patiënten met hypertriglyceridemie en hoog CV-risico. In tegenstelling tot fibraten verl
De PREVENT-trial in de Lancet toonde dat preventieve PCI van kwetsbare plaques (geïdentificeerd met IVUS/OCT) het risico op toekomstige events verminderde verge
De AEGIS-II-trial in de NEJM toonde dat infusie van recombinant apoliproteïne A1 (CSL112) na acuut MI het risico op MACE niet verminderde. HDL-verhoging via apo
REDUCE-IT analyse toonde dat hogere Lp(a) baseline-waarden geassocieerd zijn met meer CV-events maar dat het voordeel van icosapent ethyl onafhankelijk is van L
JACC-analyse toonde dat Lp(a) en hsCRP onafhankelijk cardiovasculair risico voorspellen in zowel primaire als secundaire preventie. De combinatie identificeert
Subanalyse van REDUCE-IT bij patiënten met recent ACS bevestigde het cardiovasculaire voordeel van icosapent ethyl in deze hoogrisicopopulatie. Het effect was v
De CardioRACE-trial vergeleek aerobe, kracht- en gecombineerde training op het CV-risicoprofiel bij overgewichtige volwassenen. Gecombineerde training gaf de be
Subanalyse van CLEAR Outcomes toonde dat bempedoïnezuur het totaal aantal cardiovasculaire events (inclusief herhaald) significant verminderde bij patiënten met
De ORION-5 trial toonde dat inclisiran het LDL-cholesterol significant verlaagde bij homozygote FH, een extreme vorm van hypercholesterolemie. Het middel biedt
Langetermijndata van evinacumab, een ANGPTL3-antilichaam, bevestigden duurzame LDL-verlaging bij patiënten met refractaire hypercholesterolemie die onvoldoende
Langetermijndata van lerodalcibep, een klein recombinant fusie-eiwit PCSK9-remmer, toonden duurzame LDL-verlaging bij heterozygote FH. Het middel biedt een maan
Studie bevestigde dat matige-intensiteit statine met ezetimibe non-inferieur was aan hoge-dosis statine bij patiënten met zeer hoog ASCVD-risico. De bevindingen
De REPRIEVE-trial in de NEJM toonde dat pitavastatine cardiovasculaire events met 35% verminderde bij HIV-patiënten met laag tot matig CV-risico. De trial werd
Meta-analyse van RCT's toonde dat vegetarische en veganistische diëten het totaalcholesterol en LDL significant verlagen vergeleken met omnivore diëten. Het eff
Systematische review voor de USPSTF bevestigde dat lipidestoornissen bij kinderen effectief te detecteren zijn, maar het langetermijnvoordeel van behandeling op
De USPSTF concludeerde dat het bewijs onvoldoende is om te bepalen of universele lipidescreening bij kinderen de gezondheidsuitkomsten verbetert. Dit staat in c
Gerandomiseerde trial onderzocht of een hoge statinoplaaddosis vóór CABG de uitkomsten verbetert. In tegenstelling tot bij PCI was er geen significant voordeel
GWAS-studie identificeerde nieuwe genetische loci voor aortastenose die dyslipidemie, inflammatie, verkalking en adipositas impliceren. Lp(a) en LDL bleven de s
Cluster-RCT toonde dat gepersonaliseerde klinische beslisondersteuning het statinegebruik bij ASCVD-patiënten significant verhoogde. De interventie integreerde
Mendeliaanse randomisatiestudie suggereerde een causaal verband tussen genetisch bepaalde dyslipidemie en pre-eclampsierisico. LDL-cholesterol en triglyceriden
Fase 2b trial van MK-0616, de eerste orale PCSK9-remmer (macrocyclisch peptide), toonde dosisafhankelijke LDL-verlaging tot 60%. Een orale PCSK9-remmer zou de b
FOURIER-analyse onderzocht de relatie tussen bereikt LDL-cholesterol en langetermijnuitkomsten. Lagere LDL-waarden (tot <20 mg/dL) waren geassocieerd met minder
Collaboratieve analyse van drie grote statinetrijals in de Lancet toonde dat residuele inflammatie (hsCRP) en residueel cholesterol (LDL) onafhankelijk cardiova
De CLEAR Outcomes-trial in de NEJM toonde dat bempedoïnezuur, een orale ATP-citraatlyaseremmer, cardiovasculaire events met 13% verminderde bij patiënten met st
Studie bevestigde dat matige-intensiteit statine met ezetimibe bij ouderen met atherosclerose vergelijkbare cardiovasculaire bescherming biedt als hoge-dosis st
De LODESTAR-trial in JAMA toonde dat een treat-to-target benadering (LDL <70 mg/dL) non-inferieur was aan standaard hoge-dosis statine bij coronairlijden. Treat
De NOTIFY-studie in Circulation toonde dat AI-gedetecteerd coronair calcium op niet-gegated CT-thorax het statinegebruik significant verhoogde na notificatie va
Studie onderzocht PCSK9-remming als anti-inflammatoire interventie bij COVID-19. De hypothese was dat PCSK9 betrokken is bij het inflammatoire respons. De resul
JACC-studie vergeleek lage-dosis rosuvastatine met placebo en zes populaire voedingssupplementen (visolie, kaneelextract, knoflook, kurkuma, plantensterolen, ro
Gerandomiseerde studie in JAMA Cardiology toonde dat vitamine D-suppletie het risico op statine-gerelateerde spierklachten niet verminderde bij nieuwe statinege
Cluster-RCT toonde dat gedragsnudges (herinneringen, dashboards) gericht op artsen, patiënten of beide het statinegebruik significant verhoogden bij patiënten d
Subanalyse van ORION-11 toonde dat inclisiran, een siRNA-gebaseerde PCSK9-remmer, het LDL-cholesterol ook bij primaire preventiepatiënten effectief en duurzaam
De OCEAN(a)-DOSE-trial in de NEJM toonde dat olpasiran, een small interfering RNA, het Lp(a) met >90% verlaagde bij patiënten met atherosclerotisch vaatlijden.
Open-label extensie van FOURIER toonde dat langetermijn evolocumab-gebruik (tot 5 jaar) veilig was en het LDL-cholesterol duurzaam verlaagde. Het cardiovasculai
ACC expert consensus document actualiseerde het beslispad voor niet-statine therapieën bij ASCVD. Ezetimibe, PCSK9-remmers, bempedoïnezuur en inclisiran worden
Fase 2b trial onderzocht recombinant LCAT (lecithine-cholesterol-acyltransferase) bij acuut STEMI om HDL-functie te versterken en infarctgrootte te verminderen.
De SECURE-trial in de NEJM toonde dat een polypil (aspirine, ramipril, atorvastatine) het risico op cardiovasculaire events met 24% verminderde vergeleken met a
Individuele-patiëntdata meta-analyse van grote dubbelblinde trials in de Lancet toonde dat statines slechts een klein percentage spiersymptomen veroorzaken. De
Meta-analyse toonde dat de werkelijke prevalentie van statine-intolerantie lager is dan vaak gedacht: 7-29% afhankelijk van de definitie. Nocebo-effecten spelen
Review in EHJ beschreef de verschuiving van vroegtijdige atherosclerotische sterfte naar aortaklepstenose als belangrijkste probleem bij homozygote FH door verb
Analyse toonde dat apoliproteïne B een betere voorspeller is van residueel cardiovasculair risico na ACS dan LDL-cholesterol. Alirocumab verlaagde apoB effectie
Geactualiseerde systematische review voor de USPSTF bevestigde dat statinegebruik voor primaire CV-preventie geassocieerd is met verminderde mortaliteit en mind
De US Preventive Services Task Force bevestigde de aanbeveling voor statinegebruik bij volwassenen van 40-75 jaar met ≥1 CV-risicofactor en ≥10% 10-jaars CV-ris
Subanalyse van REDUCE-IT toonde dat icosapent ethyl IL-1β, IL-6, CRP en oxidatief gemodificeerd LDL significant verlaagde vergeleken met minerale olie. Dit anti
Langetermijnstudie in de Lancet toonde dat matige-intensiteit statine met ezetimibe even effectief was als hoge-dosis statine monotherapie bij patiënten na PCI,
Uitgebreide meta-analyse bevestigde het gunstige veiligheidsprofiel van PCSK9-remmers. Er was geen toename van ernstige bijwerkingen, myalgie, diabetes of cogni
Systematische review voor de USPSTF bevestigde dat gedragscounseling over voeding en beweging een bescheiden maar consistent gunstig effect heeft op cardiovascu
Systematische review en meta-analyse naar voedingscholesterol, serumcholesterol en eiconsumptie en totale en oorzaakspecifieke mortaliteit.
JAMA PACMAN-AMI trial die alirocumab bovenop hoog-intensieve statine onderzocht op coronaire atherosclerose na MI. Multimodaliteitsbeeldvormingsbewijs.
JAMA fase-1 dosisescalatiestudie van een siRNA tegen Lp(a)-productie bij individuen met verhoogd plasma-Lp(a).
REDUCE-IT subanalyse naar de preventie van CV-events met icosapent-ethyl bij patiënten met eerder MI.
TRANSLATE-TIMI 70 trial van vupanorsen (ANGPTL3-remmer) op non-HDL-cholesterol bij statinebehandelde patiënten.
Langetermijnanalyse van veiligheid en werkzaamheid van anacetrapib (CETP-remmer) bij atherosclerotisch vaatlijden.
Studie naar apoliproteïne C-III reductie bij patiënten met matige hypertriglyceridemie en hoog cardiovasculair risico.
Mechanistische studie die aantoont dat insuline hypercholesterolemie voorkomt door suppressie van 12α-gehydroxyleerde galzuren.
Analyse van het effect van pelacarsen (Lp(a)-verlagend antisense) op Lp(a)-cholesterol en gecorrigeerd LDL. Kwantificeert de Lp(a)-bijdrage aan LDL.
Studie die aantoont dat propionaat (korte-keten vetzuur) atherosclerose vermindert via immuun-afhankelijke regulatie van intestinaal cholesterolmetabolisme.
NEJM trial van dolutegravir bij kinderen met HIV. Relevant voor CV-metabole interacties van antiretrovirale therapie.
REDUCE-IT vergelijking van onderzoekers-gerapporteerde versus geadjudiceerde ischemische events.
IMPROVE-IT analyse naar het effect van baseline LDL-niveau op klinische uitkomsten met ezetimibe-toevoeging.
StatinWISE detailanalyse naar bijwerkingspatronen in de crossover van statine, placebo en geen behandeling.
Studie naar het effect van PCSK9-remming op geoxideerde fosfolipiden als marker voor residueel cardiovasculair risico.
JAMA Cardiology analyse van het Million Hearts CV-risicoreductiemodel op het starten en intensiveren van medicatie.
ACC 2021 expert consensus over management van ASCVD-risicoreductie bij patiënten met persistente hypertriglyceridemie.
HOPE-3 langetermijn (8,7 jaar) follow-up van cholesterol- en bloeddrukverlaging op CV-events. Post-trial voordeel.
Studie naar de rol van Lp(a) in het voordeel van PCSK9-remming bij patiënten met nominaal gecontroleerd LDL-cholesterol.
ODYSSEY OUTCOMES analyse naar werkzaamheid en veiligheid van alirocumab gestratificeerd naar bereikte LDL-niveaus na ACS.
FOURIER analyse naar werkzaamheid en veiligheid van evolocumab bij patiënten met metabool syndroom na ACS.
NEJM PolyPill-TIPS-3 trial die een polypil (statine + antihypertensiva) met of zonder aspirine onderzocht bij personen zonder CVD. Definitief bewijs voor de pol
JAMA Cardiology gerandomiseerde trial van elektronisch patiëntendossier-interventies (nudging) voor statinevoorschrijving door cardiologen.
NEJM trial van evinacumab bij patiënten met refractaire hypercholesterolemie (niet-FH). Uitbreiding van ANGPTL3-remming naar een bredere populatie.
Studie die aantoont dat remnant cholesterol sterker geassocieerd is met incident cardiovasculaire ziekte dan LDL-cholesterol. Verschuift de focus van LDL naar r
JAMA STRENGTH trial die hoog-dosis omega-3 (EPA+DHA) vergeleek met maisolie bij hoog CV-risico. Negatief — in contrast met REDUCE-IT (EPA alleen).
NEJM StatinWISE N-of-1 trial die aantoonde dat statinebijwerkingen grotendeels niet reproduceerbaar zijn in geblindeerde rechallenge. Definitief nocebo-bewijs.
JAMA USPSTF aanbeveling voor gedragscounseling over voeding en beweging bij volwassenen met CV-risicofactoren.
JAMA USPSTF evidence review over gedragscounseling voor voeding en beweging bij volwassenen met CV-risicofactoren.
ODYSSEY OUTCOMES analyse die aantoont dat Lp(a)-verlaging door alirocumab de totale CV-eventlast vermindert onafhankelijk van LDL-cholesterol.
Lancet systematische review en meta-analyse van werkzaamheid en veiligheid van LDL-verlaging bij oudere patiënten. Definitief bewijs voor lipidentherapie op hog
NEJM trial relevant voor cardio-oncologie vanwege cardiovasculaire bijwerkingen van ALK-remmers (hypercholesterolemie, hypertriglyceridemie).
Studie naar PCI voor kwetsbare (niet-obstructieve) coronaire atherosclerotische plaque. Preventieve interventie op hoog-risicoplaques.
ODYSSEY OUTCOMES analyse naar het effect van alirocumab op MACE gestratificeerd naar nierfunctie na ACS.
JAMA Cardiology analyse naar klinische toepassing van hoog-sensitief troponine binnen het ASCVD-risicoraamwerk.
EHJ studie van vupanorsen, een GalNAc-geconjugeerd antisense-middel tegen ANGPTL3-mRNA, voor triglyceriden- en atherogene lipoproteïneverlaging.
EVAPORATE beeldvormingsstudie die aantoonde dat icosapent-ethyl de atheroscleroseprogressie vertraagt bij verhoogde triglyceriden op statinetherapie.
NEJM HAUSER-RCT trial van evolocumab bij kinderen en adolescenten met heterozygote FH. PCSK9-remming bij de jonge populatie.
TST beeldvormingssubstudie die carotisatherosclerose-evolutie evalueerde bij een LDL-streefwaarde <70 mg/dL na ischemisch CVA.
NEJM trial van evinacumab (ANGPTL3-remmer) bij homozygote FH. Eerste behandeling die LDL-verlaging biedt onafhankelijk van de LDL-receptor. Doorbraak voor de zw
JAMA trial van een collaboratief zorgmodel voor simultane behandeling van depressie en cardiometabole risicofactoren bij diabetespatiënten.
Vergelijking van IL-6, CRP en LDL-cholesterol als biomarkers van residueel cardiovasculair risico bij hedendaagse behandelde patiënten.
Gerandomiseerde placebogecontroleerde trial van evolocumab op atherogene lipoproteïnen in de acute en vroege post-infarctperiode.
ODYSSEY HoFH trial van alirocumab bij homozygote familiaire hypercholesterolemie. PCSK9-remming bij de zwaarste FH-vorm.
Studie naar de associatie van statinegebruik met invaliditeitsvrije overleving en CV-ziekte bij gezonde ouderen.
Studie die bevestigt dat statinetherapie Lp(a)-spiegels verhoogt. Paradoxaal effect met klinische relevantie voor residueel risico.
Meta-analyse naar de prevalentie van familiaire hypercholesterolemie bij patiënten met vastgestelde atherosclerotische CV-ziekte.
JAMA Cardiology exploratieve FOURIER-analyse naar het effect van PCSK9-remming op aortaklepstenoseprogresse.
Meta-analyse van 11 miljoen deelnemers die de wereldwijde prevalentie van FH kwantificeerde. Bevestigt dat FH veel vaker voorkomt dan eerder gedacht.
BEIJERINCK gerandomiseerde studie van evolocumab bij HIV-patiënten met dyslipidemie. Eerste PCSK9-remmer trial specifiek bij HIV.
Studie naar het effect van PCSK9-remming op het risico op veneuze trombo-embolie. Onderzoekt of LDL-verlaging ook veneuze trombose beïnvloedt.
ODYSSEY OUTCOMES analyse naar perifeer vaatlijden, veneuze trombo-embolie en de rol van Lp(a) bij ACS.
Kosteneffectiviteitsanalyse van alirocumab na ACS vanuit ODYSSEY OUTCOMES. Economische evaluatie van PCSK9-remming.
Langetermijn cognitieve follow-up van FOURIER-deelnemers na evolocumab. Bevestigt geen nadelig cognitief effect van zeer lage LDL.
Studie naar de associatie van triglyceriderijk lipoproteïnecholesterol en small dense LDL-cholesterol met cardiovasculaire events.
SPARCL analyse die aantoont dat atorvastatine eerste en volgende vasculaire events vermindert over meerdere vasculaire territoria.
NEJM publicatie van twee fase-3-trials (ORION-10 en ORION-11) die aantoonden dat tweemaal jaarlijks inclisiran het LDL-cholesterol met ~50% verlaagt. Definitief
NEJM ORION-9 fase-3-trial van inclisiran bij heterozygote FH. Bevestigt werkzaamheid bij de genetische hypercholesterolemie.
Systematische review en meta-analyse die het effect van kokosolieconsumptie op cardiovasculaire risicofactoren onderzocht. LDL-stijging bevestigd.
FOURIER analyse die aantoont dat een genetische risicoscore het relatieve voordeel van evolocumab kan voorspellen. Farmacogenetische selectie.
ODYSSEY OUTCOMES analyse die aantoont dat patiënten met hoge polygene risicoscore meer klinisch voordeel hebben van alirocumab. Precisiegeneeskunde voor PCSK9-r
Studie die aantoont dat disfunctioneel HDL geassocieerd is met meer acute coronaire syndromen. HDL-functie boven HDL-spiegel.
ODYSSEY OUTCOMES analyse naar de duurzaamheid van LDL-verlaging met alirocumab over de langere termijn.
REDUCE-IT subanalyse bij de 3.146 Amerikaanse deelnemers. Regionale validatie van de REDUCE-IT resultaten.
ODYSSEY OUTCOMES analyse naar het effect van alirocumab op Lp(a) en het verband met cardiovasculair risico na ACS.
AHA science advisory over voedingscholesterol en cardiovasculair risico. Actualiseert de aanbevelingen voor cholesterolinname via voeding.
NEJM-studie die aantoonde dat gerichte Lp(a)-verlaging mogelijk is bij patiënten met cardiovasculaire ziekte. Bewijs dat Lp(a) een behandelbaar doelwit is.
NEJM TST-trial die twee LDL-cholesterolstreefwaarden vergeleek na ischemisch CVA. Lagere streefwaarde (<70 vs 90-110 mg/dL) vermindert CV-events. Bewijs voor in
ODYSSEY OUTCOMES analyse naar het effect van alirocumab op CVA-incidentie. Bevestigt cerebrovasculair voordeel van PCSK9-remming.
EVOPACS studie naar vroege evolocumab-toediening bij ACS voor snelle LDL-cholesterolreductie in de acute fase.
JAMA CLEAR Harmony-trial die bempedoïnezuur onderzocht toegevoegd aan maximaal verdragen statines bij patiënten met hoog CV-risico. Additieve LDL-verlaging.
Analyse die de nieuwe ACC/AHA risicoclassificatie voor cholesterolmanagement toepaste op klinische uitkomsten.
JAMA Cardiology meta-analyse naar de effectiviteit van interventies om statinevoorschrijving in primaire preventie te verhogen.
JAMA Cardiology 1-jaarsfollow-up van ORION-1 die het effect van 1 of 2 doses inclisiran op LDL-cholesterol evalueerde. Duurzame verlaging met siRNA.
Langetermijnanalyse van werkzaamheid en veiligheid van evolocumab bij patiënten met hypercholesterolemie. Bevestigt duurzame LDL-verlaging zonder veiligheidssig
Meta-analyse die het verband onderzocht tussen triglyceridenverlaging en cardiovasculaire risicoreductie over meerdere therapeutische klassen. Bevestigt triglyc
NEJM polypil-trial die cardiovasculaire preventie met een vaste combinatiepil onderzocht bij een onderbehandelde populatie. Populatiebrede preventiestrategie.
Mendeliaanse randomisatiestudie naar de differentiële impact van LDL-cholesterol op microvasculaire versus macrovasculaire ziekte.
NEJM-trial van roxadustat (HIF-prolylhydroxylase-remmer) bij anemie bij CKD-patiënten zonder dialyse. Nieuw oraal alternatief voor EPO.
NEJM-trial van roxadustat bij anemie bij langdurige dialysepatiënten. Bevestigt werkzaamheid van oraal HIF-remming.
ODYSSEY OUTCOMES analyse bij patiënten die eerder CABG ondergingen. Onderzoekt het incrementele voordeel van PCSK9-remming bij post-CABG patiënten.
ODYSSEY OUTCOMES subanalyse bij patiënten met polyvasculaire ziekte na ACS. Groter absoluut voordeel bij hoger uitgangsrisico.
Studie die aantoont dat arteriële wandinflammatie persisteert bij patiënten met verhoogd Lp(a) ondanks sterke LDL-verlaging. Lp(a) als onafhankelijke inflammato
Studie naar een GalNAc-geconjugeerde antisense-oligonucleotide tegen APOC3-mRNA voor verlaging van triglyceriden en atherogene lipoproteïnen. Volgende generatie
ODYSSEY OUTCOMES analyse naar het effect van alirocumab op verschillende types myocardinfarct.
JAMA Cardiology analyse bij ≥75-jarigen die simvastatine-ezetimibe vergeleek met simvastatine monotherapie na ACS. Intensieve therapie ook bij ouderen.
NEJM-trial van volanesorsen, een antisense tegen apoC-III, bij familiair chylomicronemiesyndroom. Eerste therapie voor deze zeldzame lipidenstoornis.
Studie naar remming van ANGPTL3 met een monoklonaal antilichaam voor triglyceridenverlaging bij ernstige hypertriglyceridemie.
Studie die aantoont dat endothelinereceptorblokkade het lipidenprofiel verbetert en PCSK9-spiegels verlaagt bij patiënten met pulmonale hypertensie.
ODYSSEY OUTCOMES-analyse die het mortaliteitsvoordeel van alirocumab na ACS kwantificeerde. De eerste PCSK9-remmer die totale mortaliteit significant vermindert
FOURIER-analyse naar het effect van evolocumab op het totaal aantal (niet alleen eerste) cardiovasculaire events. Kwantificeert het cumulatieve voordeel.
Kosteneffectiviteitsanalyse van lipidenverlaging met statines en ezetimibe bij CKD-patiënten.
JACC-publicatie van de systematische review voor de cholesterolrichtlijn.
JACC-publicatie van de executive summary van de 2018 cholesterolrichtlijn.
JACC-publicatie van het volledige rapport van de 2018 AHA/ACC cholesterolrichtlijn.
Systematische review die de evidence base leverde voor de 2018 AHA/ACC cholesterolrichtlijn.
FOURIER-analyse bij patiënten met chronische nierziekte. Bevestigt werkzaamheid en veiligheid van evolocumab bij nierinsufficiëntie.
Executive summary van de 2018 AHA/ACC cholesterolrichtlijn met geactualiseerde aanbevelingen voor LDL-management inclusief PCSK9-remmers en risicoversterkers.
Volledige 2018 AHA/ACC-richtlijn voor cholesterolmanagement. Nieuwe concepten: risicoversterkers, coronair calciumscore, levenslangrisicobeoordeling, LDL-drempe
REDUCE-IT analyse naar het effect op totale (niet alleen eerste) ischemische events met icosapent-ethyl. Kwantificeert het totale eventvoordeel.
Studie naar de relatie tussen Lp(a)-niveaus, het effect van PCSK9-remming daarop, en het residuele cardiovasculaire risico. Lp(a) als doelwit voor PCSK9-remmers
NEJM-trial die veiligheid en werkzaamheid van bempedoïnezuur aantoonde voor LDL-verlaging. Nieuw oraal middel als aanvulling op of alternatief voor statines.
ODYSSEY OUTCOMES analyse die de reductie in totale (niet alleen eerste) cardiovasculaire events met alirocumab kwantificeerde.
Landmark Lancet meta-analyse van individuele patiëntdata uit 28 statinetrials bij ouderen. Definitief bewijs dat statines effectief en veilig blijven op hogere
Landmark NEJM REDUCE-IT-trial die aantoonde dat icosapent-ethyl (gezuiverd EPA) cardiovasculaire events significant vermindert bij statinebehandelde patiënten m
JAMA Cardiology analyse van interindividuele variatie in LDL-respons op evolocumab in de FOURIER-trial. Relevant voor verwachtingsmanagement bij PCSK9-remming.
Meta-analyse die aantoont dat een polypilstrategie (vaste combinatie antihypertensiva + statine) de cardiovasculaire richtlijndoelen beter bereikt. Praktische p
Landmark NEJM ODYSSEY OUTCOMES-trial die aantoonde dat alirocumab cardiovasculaire events en totale mortaliteit vermindert na ACS. Tweede grote positieve PCSK9
Studie die de metabolome effecten van genetische PCSK9-remming vergeleek met statinetherapie. Differentieert de off-target effecten van beide strategieën.
JAMA Cardiology analyse naar het optimale tijdstip van atorvastatine-oplaaddosis vóór PCI bij ACS.
Genetische studie die LPA-genvarianten identificeerde als geassocieerd met residueel cardiovasculair risico bij statinebehandelde patiënten. Lp(a) als onbehande
GLAGOV-analyse naar het effect van evolocumab op de samenstelling van coronaire plaques middels IVUS. Toont plaquestabilisatie naast volumereductie.
Lancet individuele patiëntdata meta-analyse naar lipoproteïne(a) baseline en on-statin niveaus voor voorspelling van CV-events. Definieert Lp(a) als residuele r
Studie die het geschatte individuele levenslange voordeel van PCSK9-remming berekende bij statinebehandelde patiënten met coronairlijden. Personaliseert de beha
Lancet ASCOT langetermijn legacy-analyse van bloeddruk- en lipidenverlagende behandeling. Onderzoekt het post-trial mortaliteitsvoordeel na jaren follow-up.
ORION 1 secundaire analyse naar het effect van inclisiran op het volledige atherogene lipoproteïnenprofiel. Gaat verder dan alleen LDL-C.
JAMA Cardiology meta-analyse naar werkzaamheid en veiligheid van verdere LDL-verlaging bij patiënten die al zeer lage niveaus bereiken. Bevestigt 'lower is bett
JAMA Cardiology trial naar seriële infusies van CER-001, een pre-β HDL-mimeticum, op coronaire atherosclerose na ACS. Negatief resultaat voor de HDL-infusiestra
JAMA Cardiology trial naar infusie van een HDL-mimeticum met recombinant apolipoproteïne A-I Milano op coronaire atherosclerose. Test van de HDL-infusiestrategi
FOURIER-analyse die aantoont dat het klinisch voordeel van evolocumab groter is bij ernstiger en uitgebreider coronairlijden. Risicostratificatie voor PCSK9-rem
Lancet fase-2 trial van baricitinib bij systemische lupus erythematosus. Cardio-immunologisch relevant gezien het verhoogde CV-risico bij SLE.
Meta-analyse die het verband kwantificeerde tussen LDL-verlaging door PCSK9-remmers en cardiovasculaire events. Bevestigt proportioneel voordeel ongeacht het mi
Studie naar het residuele inflammatoire risico dat overblijft na maximale LDL-verlaging met PCSK9-remming en statines. Kwantificeert het 'inflammation gap'.
FOURIER-analyse naar het samenspel van inflammatie (hsCRP) en cholesterol als residueel risico. Integreert de FOURIER- en CANTOS-concepten.
Japanse REAL-CAD superioriteitstrial die hoog- versus laaggedoseerd pitavastatine vergeleek bij stabiel coronairlijden. Bevestigt dosisafhankelijk voordeel van
JAMA systematische review die het verband onderzocht tussen uitgangs-LDL en totale en cardiovasculaire mortaliteitsreductie na LDL-verlaging. Kwantificeert het
Meta-analyse die statines vergeleek met niet-statine LDL-verlagers op cardiovasculaire uitkomsten bij secundaire preventie. Bevestigt dat LDL-verlaging het mech
Geactualiseerde ESC/EAS praktische gids voor PCSK9-remming in de klinische praktijk. Integreert FOURIER- en ODYSSEY OUTCOMES-resultaten.
JAMA gerandomiseerde trial naar het effect van een oplaaddosis atorvastatine vóór geplande PCI op cardiovasculaire events. Onderzocht periprocedurale statineloa
Studie die HDL-subspecies onderscheidt op basis van apoC-III-aanwezigheid en hun associatie met coronairlijden. Verfijnt het begrip van HDL-heterogeniteit.
CARDIVEG-studie die een caloriearm vegetarisch dieet vergeleek met een mediterraan dieet op gewichtsverlies en cardiovasculair risicoprofiel.
CENTRAL MRI-trial die het effect van verschillende leefstijlinterventies op vetdepots onderzocht met MRI-beeldvorming. Gedetailleerd inzicht in vetredistributie
Gerandomiseerde vergelijking van twee uitgebreide hartrevalidatieprogramma's op effectiviteit voor cardiovasculaire risicoreductie.
Studie naar de interactie tussen genetische aanleg, leefstijl en LDL-cholesterol bij jonge, schijnbaar gezonde vrouwen. Preventie begint vroeg.
Genetische studie die aantoont dat PCSK9-varianten differentiële effecten hebben op coronairlijden versus ischemisch CVA. Nuanceert het voordeel van PCSK9-remmi
JAMA Cardiology analyse die het verband onderzocht tussen Lp(a) en recidiverende ischemische events na ACS. Lp(a) als residueel risicofactor na standaardbehande
FOURIER subanalyse bij patiënten met perifeer arterieel vaatlijden. Evolocumab vermindert ook ledemaat-gerelateerde events — voordeel voorbij coronairlijden.
JAMA Cardiology meta-analyse van genetische associaties tussen lipidenniveaus, lipide-geneesmiddeldoelwitten en het risico op abdominaal aorta-aneurysma.
Genetische studie die een missense-variant in LILRB5 identificeerde als risicofactor voor statine-intolerantie en myalgie. Farmacogenomische verklaring voor ind
IMPROVE-IT subanalyse naar het effect van ezetimibe-toevoeging aan statines op CVA-preventie na ACS. Bevestigt dat LDL-verlaging ook cerebrovasculaire events ve
JAMA Cardiology FOURIER-analyse bij patiënten die reeds lage LDL-niveaus bereikten op statines. Onderzoekt het incrementele voordeel van PCSK9-remming bij reeds
Studie naar de effectiviteit van LDL-cholesterolverlaging voor primaire preventie specifiek bij mannen met primaire LDL-verhoging als enige risicofactor.
Lancet FOURIER-subanalyse naar de werkzaamheid en veiligheid van het bereiken van zeer lage LDL-concentraties met evolocumab. Bevestigt 'lower is better' tot ze
ACC 2017 update van de expert consensus decision pathway voor niet-statinetherapie inclusief ezetimibe en PCSK9-remmers. Integreert FOURIER-resultaten.
NEJM REVEAL-trial die aantoonde dat anacetrapib (CETP-remmer) cardiovasculaire events vermindert bij statinebehandelde patiënten. In tegenstelling tot eerdere C
Toepassing van de Statin-Associated Muscle Symptoms-Clinical Index (SAMS-CI) op een gerandomiseerde trial. Verfijnt de diagnostiek van statinegerelateerde spier
Landmark NEJM CANTOS-trial die bewees dat anti-inflammatoire therapie (IL-1β-remming met canakinumab) cardiovasculaire events vermindert onafhankelijk van lipid
Studie naar de werkzaamheid van rosuvastatine bij kinderen met homozygote FH en de associatie met onderliggende genetische mutaties. Gepersonaliseerde lipidenve
NEJM EBBINGHAUS-studie die aantoonde dat evolocumab en zeer lage LDL-niveaus geen nadelig effect hebben op cognitieve functie. Geruststellend voor de veiligheid
Japanse gerandomiseerde trial die pitavastatine + ezetimibe versus pitavastatine monotherapie onderzocht bij ACS-patiënten met dyslipidemie. Intensieve LDL-verl
Longitudinale studie naar de ontwikkeling van arteriële stijfheid van de kindertijd tot jongvolwassenheid en de rol van cardiometabole risicofactoren.
NEJM-studie die aantoont dat genetische inactivatie van ANGPTL3 geassocieerd is met verlaagd cardiovasculair risico. Onderbouwt ANGPTL3 als nieuw therapeutisch
NEJM-studie naar antisense-oligonucleotiden gericht tegen ANGPTL3 voor de behandeling van dyslipidemie. Nieuw therapeutisch doelwit naast statines en PCSK9-remm
ALLHAT-analyse die heterogeniteit in vroege bloeddrukrespons op verschillende antihypertensivaklassen onderzocht. Relevant voor gepersonaliseerde startkeuze.
Lancet-analyse die aantoont dat statinebijwerkingen significant vaker worden gerapporteerd in ongeblindeerde versus geblindeerde fase. Bewijs voor het nocebo-ef
JUPITER-analyse die cholesteroleffluxcapaciteit en HDL-deeltjesaantal onderzocht als voorspellers van cardiovasculaire events. Verschuift de focus van HDL-spieg
Studie die aantoont dat een polygene risicoscore patiënten identificeert met meer atherosclerose en groter relatief voordeel van statinetherapie. Stap naar gene
Meta-analyse van de JUPITER- en HOPE-3-trials specifiek gericht op oudere deelnemers. Bevestigt het voordeel van statines voor primaire preventie ook op hogere
Landmark NEJM FOURIER-trial die aantoonde dat evolocumab cardiovasculaire events significant vermindert bij patiënten met atherosclerotische cardiovasculaire zi
JAMA Cardiology gespecificeerde analyse van IMPROVE-IT naar de langetermijnveiligheid van het bereiken van zeer lage LDL-niveaus. Geruststellend voor intensieve
NEJM-studie die aantoonde dat bococizumab (PCSK9-remmer) leidt tot antilichaamvorming met afnemende werkzaamheid. Een van de redenen voor het stopzetten van het
NEJM cardiovasculaire uitkomstentrial van bococizumab die ondanks initiële LDL-reductie geen duurzaam klinisch voordeel toonde door antilichaamvorming. Belangri
NEJM ORION-1-trial die inclisiran (siRNA PCSK9-remmer) evalueerde bij patiënten met hoog cardiovasculair risico en verhoogd LDL-cholesterol. Dosisresponsdata vo
NEJM-studie die aantoont dat lichaamsgewichtsfluctuaties geassocieerd zijn met hogere mortaliteit en cardiovasculaire events bij patiënten met coronairlijden. P
NEJM 5-jaarsresultaten die de superioriteit van bariatrische chirurgie boven intensieve medicamenteuze therapie bevestigen voor glycemische controle bij obesita
Analyse die pleit voor een grotere rol van cholesterolniveaus bij het selecteren van patiënten voor statinetherapie. Relevant voor het debat tussen risicoscore-
Studie naar de associatie tussen geoxideerde fosfolipiden op apoliproteïne B-100 en recidiverende ischemische events na beroerte of TIA. Onderzoekt een nieuwe b
Landmark NEJM-publicatie van de eerste inclisiran-studie die aantoonde dat een enkele subcutane injectie met siRNA het PCSK9-eiwit en LDL-cholesterol gedurende
Studie naar de relatie tussen hoog-sensitief troponine, statinegebruik en het risico op coronairlijden. Onderzoekt troponine als biomarker voor subclinische myo
Subanalyse van IMPROVE-IT naar het voordeel van ezetimibe-toevoeging bij ACS-patiënten met eerdere CABG. Deze subgroep heeft een verhoogd risico en mogelijk mee
Systematische review en meta-analyse naar de veiligheid en werkzaamheid van statines voor primaire cardiovasculaire preventie bij HIV-positieve patiënten. Relev
Gerandomiseerde ODYSSEY ESCAPE-trial die alirocumab onderzocht bij patiënten met heterozygote familiaire hypercholesterolemie die lipoproteïne-aferese ondergaan
Studie naar de veiligheid en verdraagbaarheid van CSL112, een infuseerbaar plasma-afgeleid apoliproteïne A-I, na acuut myocardinfarct. Onderzoekt reverse choles
Gepoolde analyse van 10 ODYSSEY-trials die de relatie onderzocht tussen alirocumab-geïnduceerde reductie in atherogene lipiden en vermindering van cardiovascula
Landmark JAMA GLAGOV-trial die met intravasculaire echografie aantoonde dat evolocumab de atheroscleroseprogressie significant vermindert bij statinebehandelde
Analyse die aantoont dat behandeling met dalcetrapib (CETP-remmer) de relatie tussen HDL-cholesterol en ontstekingsmarker CRP wijzigt. Inzicht in de complexe bi
AHA scientific statement met aanbevelingen voor het management van klinisch significante geneesmiddelinteracties met statines bij cardiovasculaire patiënten. Pr
JAMA evidence report en systematische review voor de USPSTF over statines voor primaire preventie van cardiovasculaire ziekte bij volwassenen. Bewijsbasis voor
USPSTF-aanbeveling voor statinegebruik bij de primaire preventie van cardiovasculaire ziekte bij volwassenen. Definieert drempelwaarden en indicaties voor stati
Analyse die het resterende cardiovasculaire risico in kaart bracht bij patiënten in secundaire preventie. Kwantificeert hoeveel risico overblijft ondanks standa
Gepoolde analyse van 10 ODYSSEY fase-3-studies die geen verhoogde incidentie van diabetes aantoonde bij alirocumabgebruik. Geruststellend voor de metabole veili
De ESC/EAS-richtlijn 2016 voor dyslipidemie — het standaardwerk dat streefwaarden en behandelstrategieën definieerde voor LDL-cholesterolverlaging. Introduceerd
Beknopte samenvatting van de tien belangrijkste boodschappen uit de 2016 ESC/EAS-richtlijn voor dyslipidemieën. Kernboodschappen voor de dagelijkse lipidenprakt
JAMA systematische review en meta-analyse die het verband onderzocht tussen LDL-C-verlaging en cardiovasculaire risicoreductie over verschillende therapeutische
Aanbevelingsverklaring van de US Preventive Services Task Force over lipidescreening bij kinderen en adolescenten. Standpunt over universele versus gerichte scr
Systematische review voor de USPSTF over de opbrengst van lipidescreening bij kinderen en adolescenten voor detectie van multifactoriële dyslipidemie. Bewijsbas
Systematische review voor de USPSTF specifiek gericht op detectie van familiaire hypercholesterolemie via lipidescreening op kinderleeftijd. Ondersteunt vroegti
Studie die aantoont dat hogere visit-to-visit variabiliteit in LDL-cholesterol geassocieerd is met lagere cognitieve prestaties en kleiner hersenvolume. Pleit v
JAMA Cardiology analyse van HOPE-3 naar de rol van familiaire belasting bij de beslissing om statinetherapie te starten bij personen met intermediair risico. On
NEJM HOPE-3-publicatie specifiek over het cholesterolverlagende deel: rosuvastatine versus placebo bij intermediair-risicopersonen. Toont een significante reduc
NEJM HOPE-3-trial die gelijktijdige bloeddruk- en cholesterolverlaging onderzocht bij personen met intermediair risico zonder vastgestelde cardiovasculaire ziek
NEJM-trial die perioperatief rosuvastatinegebruik onderzocht bij patiënten die hartchirurgie ondergingen. Onderzoekt of statines perioperatieve complicaties zoa
Gerandomiseerde placebogecontroleerde trial van LY3015014, een monoklonaal antilichaam tegen PCSK9, bij hypercholesterolemie. Onderzocht de veiligheid en werkza
Analyse van de variabiliteit in procentuele LDL-cholesterolreductie bij hoogintensieve statinetherapie. Relevant voor het bepalen welke patiënten baat hebben bi
JAMA Cardiology secundaire analyse naar het verband tussen lipoproteïnenprofielen, insulineresistentie en het risico op diabetes type 2 bij rosuvastatinegebruik
JAMA-trial die evolocumab vergeleek met ezetimibe bij patiënten met spiergerelateerde statine-intolerantie. Eerste head-to-head vergelijking van een PCSK9-remme
Gerandomiseerde dubbelblinde studie die het effect van statines op de samenstelling van coronaire plaques onderzocht. Beeldvormende studie die mechanistisch inz
Studie die onderzocht of kennis van een genetische risicoscore voor coronairlijden effect heeft op gezondheidsuitkomsten, met name LDL-cholesterolniveaus en beh
Netwerkmeta-analyse van gerandomiseerde trials die PCSK9-remmers vergeleek met placebo en ezetimibe bij primaire hypercholesterolemie. Kwantificeert het effect
Analyse van de IMPROVE-IT-trial die een significante reductie in totale cardiovasculaire events aantoonde met ezetimibe/simvastatine bij patiënten na een acuut
Meta-analyse die het effect van nicotinezuur (niacine) op glucosespiegels en het risico op het ontwikkelen van diabetes mellitus onderzocht. Klinisch relevant v

Professor Julian Halcox bespreekt in deze driedelige videoserie de actuele benaderingen voor het management van dyslipidemie. Aan bod komen nieuwe therapeutisch
Internationale prospectieve cohortstudie bij patiënten ≥45 jaar die niet-cardiale chirurgie ondergingen. Onderzocht het effect van preoperatieve statinetherapie